Preaload Image

Overview

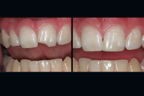
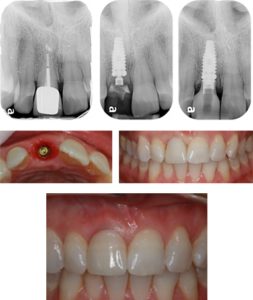
North East Medical College & Hospital launched Dental unit in 2014 with an aim to provide modern specialized dental & oral health care to mass population in Sylhet. Keeping in mind the desired aim, dental unit providing their services under 6(six) specialized departments.All the departments are well equipped with modern technologies and full filled by specialized trained members. Departments are running under supervision of professors& consultants.

To provide standard treatment to mass population skilled medical professionals have to be created. So graduation program for dental surgery (5 years BDS course) is going on at NEMC dental unit.

Faculty

Dr. S.A.M. Imran Hossain

Professor(CC)  & Head of the Department.  Full Time

Dr. Syeda Tasmia Kawser

Assoc. Professor  Full Time

Dr. Sumaiya Zaman

Assoc. Professor  Full Time

Dr. Fuad Reajwan Kabir

Assoc. Professor (CC)  Full Time

Dr. Tasnim Ahmed

Associate Professor (CC)  Full Time

Dr. Hasan Abeedur Rahman

Asstt. Professor  Full Time

Dr. Md, Hasan Al Masud Bhuyan

Asstt. Professor    Full Time

Dr. Prokriti Rani Sinha

Senior Lecturer  Full Time

Facilities

Faculty

ORAL SERVICES

SEMINAR

Morning Session