Preaload Image


North East Medical College & Hospital launched Dental unit in 2014 with an aim to provide modern specialized dental & oral health care to mass population in Sylhet. Keeping in mind the desired aim, dental unit providing their services under 6(six) specialized departments.All the departments are well equipped with modern technologies and full filled by specialized trained members. Departments are running under supervision of professors& consultants.

To provide standard treatment to mass population skilled medical professionals have to be created. So graduation program for dental surgery (5 years BDS course) is going on at NEMC dental unit.

Dental Unit Consists Of

Academic Section :

  • Galleries
  • Tutorial rooms
  • Laboratories

Out door:

  • Prosthodontics Department
  • Oral & maxillofacial surgery Department
  • Conservative dentistry & Endodontic Department
  • Pediatrics Department
  • Orthodontics Departments
  • Period ontology Department

Indoor :

  • Oral & maxillofacial surgery ward.

 

 

Services

Oral & Maxillofacial Surgery :

  • Oral cancer Treatment
  • Operation of oral cyst &tumour
  • Jaw fracture management
  • Treatment for oral ulcer, infections
  • Temporomandibular joint disorder treatment

 

Prediodontology & Oral Medical Department :

  • Scaling
  • Polishing
  • Diagnosis of oral pre- cancer
  • Treatment of oral pre- cancer

 

 

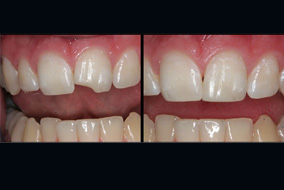
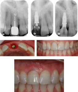
Prosthodontics Department :

  • Crown (cap) for broken tooth.
  • Bridge (fixed prosthesis) for missing tooth.
  • Flexible denture (Removable prosthesis) for missing teeth.
  • FlexibleDental implant.
  • Maxillofacial prosthesis for post- surgical rehabilitation.
  • Prosthesis for cist lip & palate.

 

Conservative Dentistry &  Endodontics Department :

  • Treatment (RCT)
  • Aesthetic filling for broken tooth
  • Cosmetic filling or tooth colour matching filling
  • Emergency Dental pain management

 

Orthodontics Department :

  • Braces treatment formalaligned teeth
  • Preventive treatment for tooth malalignment of child patient.

 

Pediatrics Department :

  • Teeth extraction of children
  • Emergency dental pain management of child patient
  • Child patient education program.

Investigation Facilities

Specialized Investigation :

  • X - ray periodical for single tooth.
  • X – ray OPG
  • C T scan facilities
  • Histopathology for cancer patients
  • FN A C for suspicious patient of cancer

 

Laboratory :

  • Dental prosthetic Laboratory under supervision   of specialized Prosthodontist.

Indoor Facilities :

  • Maxillofacial surgery ward for indoor patient under supervision of maxillofacial surgeons.

Emergency :

  • 24 hours emergency management for maxillofacial trauma patients.

Contact Details